Εικόνα banner που δείχνει την οδοντιατρική καρέκλα και κάποια από τα οδοντιατρικά εργαλεία.

ΥΠΗΡΕΣΙΕΣ

ΑΙΣΘΗΤΙΚΗ ΟΔΟΝΤΙΑΤΡΙΚΗ

Εικόνα που δείχνει πριν και μετά τις εικόνες λεύκανσης. Τα δόντια πριν είναι κίτρινα και μετά τη λεύκανση είναι λευκά.

Είναι το σύνολο των θεραπειών που εκτελούνται με σκοπό την επίτευξη ενός πραγματικά εντυπωσιακού χαμόγελου πέρα από τα όρια της κλασικής οδοντιατρικής.

ΛΕΥΚΑΝΣΗ

Η λεύκανση των δοντιών πραγματοποιείται με δύο τρόπους:

  1. Στο ιατρείο σε μία ή δύο συνεδρίες διάρκειας μίας ώρας με τη βοήθεια λευκαντικού που ενεργεί μόνο του. Αυτή η μέθοδος δίνει άμεσα αποτελέσματα, αλλά μικρότερης έντασης από τη λεύκανση με νάρθηκες (βλ. παρακάτω).
  2. Στο σπίτι, συνήθως κατά τη διάρκεια της νύχτας, με τη χρήση ναρθήκων που συγκρατούν το λευκαντικό σε επαφή με τα δόντια, για μια περίοδο που διαρκεί 8 έως 10 νύχτες. Οι νάρθηκες κατασκευάζονται σε απόλυτη εφαρμογή με τα δόντια του θεραπευόμενου.

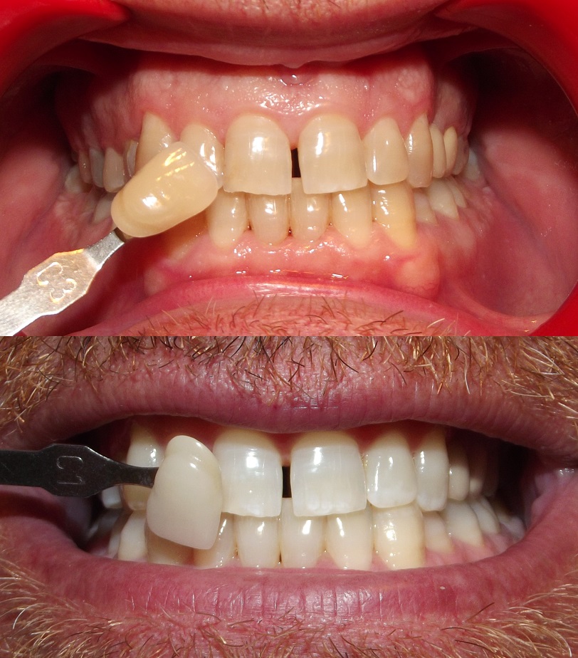
ΟΨΕΙΣ ΡΗΤΙΝΗΣ ή ΠΟΡΣΕΛΑΝΗΣ

Είναι όψεις ενός λεπτού «φλοιού» που τοποθετούνται πάνω στα εμπρόσθια δόντια με σκοπό να διορθωθούν διάφορα αισθητικά προβλήματα όπως: αντιαισθητικά κενά, κατάγματα δοντιών, δυσχρωμίες, στροφές και γενικά σχεδόν κάθε είδους αισθητικά προβλήματα, χαρίζοντας ένα υγιές και αστραφτερό χαμόγελο, αν θέλουμε μάλιστα, πολύ λευκότερο από πριν. Για την τοποθέτηση των όψεων απαιτείται ένα σχετικά ελαφρύ «τρόχισμα» της μπροστινής επιφάνειας των δοντιών και ανάλογα με το υλικό κατασκευής, ολοκληρώνεται σε μία επίσκεψη, εάν η επένδυση είναι ρητίνη ή σε δύο-τρεις επισκέψεις, εάν η επένδυση είναι πορσελάνη.

ΟΛΟΚΕΡΑΜΙΚΕΣ ΣΤΕΦΑΝΕΣ

Είναι «θήκες» που δεν έχουν μεταλλικό σκελετό όπως οι συμβατικές μεταλλοκεραμικές θήκες, αλλά αποτελούνται από μασίφ κεραμικό υλικό γεγονός που επιτρέπει να επιτύχουμε απόλυτη αισθητική απόδοση. Όταν χρειάζεται μεγάλη αντοχή, δηλαδή μεγάλες αποστάσεις μεταξύ στηριγμάτων κ.λπ., ενισχύεται η κατασκευή με σκελετό από κεραμικό ζιρκονίας.

ΚΟΣΜΗΤΙΚΗ ΔΙΑΜΟΡΦΩΣΗ ΑΔΑΜΑΝΤΙΝΗΣ (ΣΜΑΛΤΟΥ)

Ορισμένες φορές η ανώδυνη και ασφαλής αφαίρεση ενός μικρού μέρους της αδαμαντίνης μας επιτρέπει να επιτύχουμε, μέσα σε λίγα λεπτά, μία πολύ πιο φυσική εμφάνιση, εξαλείφοντας μικρές στρεβλοφυίες.